
A heel spur is a bony growth that forms on the underside of the heel bone, often associated with chronic plantar fascia stress. Many patients experience sharp pain while standing or walking, especially first thing in the morning, although some may remain asymptomatic. Diagnosis typically involves a thorough physical examination and imaging tests such as X-rays to confirm the presence of the spur. Risk factors include prolonged standing, obesity, high-impact activities, flat feet, and tight calf muscles, all of which increase pressure on the heel. A podiatrist can provide effective treatment options, including custom orthotics, anti-inflammatory therapies, and minimally invasive procedures to relieve pain and improve mobility. If you have heel pain, it is suggested that you promptly consult a podiatrist who can accurately diagnose and treat heel spurs.
Heel spurs can be incredibly painful and sometimes may make you unable to participate in physical activities. To get medical care for your heel spurs, contact Phyllis Weinstein, DPM from California. Our doctor will do everything possible to treat your condition.
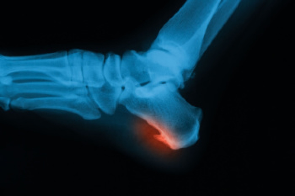
Heels Spurs
Heel spurs are formed by calcium deposits on the back of the foot where the heel is. This can also be caused by small fragments of bone breaking off one section of the foot, attaching onto the back of the foot. Heel spurs can also be bone growth on the back of the foot and may grow in the direction of the arch of the foot.
Older individuals usually suffer from heel spurs and pain sometimes intensifies with age. One of the main condition's spurs are related to is plantar fasciitis.
Pain
The pain associated with spurs is often because of weight placed on the feet. When someone is walking, their entire weight is concentrated on the feet. Bone spurs then have the tendency to affect other bones and tissues around the foot. As the pain continues, the feet will become tender and sensitive over time.
Treatments
There are many ways to treat heel spurs. If one is suffering from heel spurs in conjunction with pain, there are several methods for healing. Medication, surgery, and herbal care are some options.
If you have any questions, please feel free to contact our office located in Temple City, CA . We offer the newest diagnostic and treatment technologies for all your foot care needs.



